
Ещё одно доказательство, что вейпы абсолютное зло...
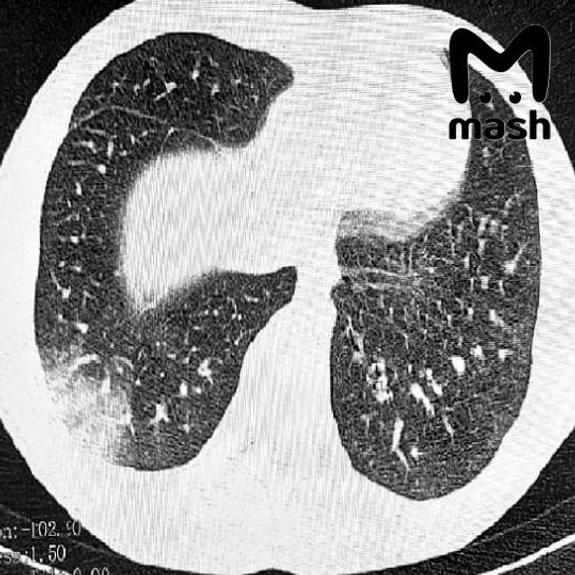
У 16-летнего пациента — серьёзная дыхательная недостаточность, потребовалась искусственная вентиляция лёгких. У другого — двусторонняя вейп-ассоциированная пневмония EVALI, врачи сделали операцию. Похожие случаи фиксируют и в других регионах России: первые в Москве в 2021-м, затем в Томске, где в прошлом году пострадали двое несовершеннолетних.
Врачи говорят: электронки серьёзно портят здоровье. Жидкости в дуделках содержат химические вещества, которые повреждают дыхательные пути, вызывают воспаление лёгких и приводят к проблемам с дыханием.
НОВОСТИ СЕГОДНЯ
Похожие новости: